안녕하세요 쌍둥이 예비엄마 용화입니다. 22주차에는 산부인과에서 정밀 초음파를 봤어요.두근두근 항상 병원에 가는 날은 기대되지만 걱정되는 날이기도 합니다.아프지 않을까? 무슨 문제가 있으면 어쩌지, 그래도 복복이와의 만남이 더 기쁘네요.이날은 남편이 바쁘거나 정밀 초음파 때는 남편이 볼 수 없기 때문에 반차를 사용해 혼자 다녀왔습니다.
![]()
보람병원산전정밀초음파
![]()
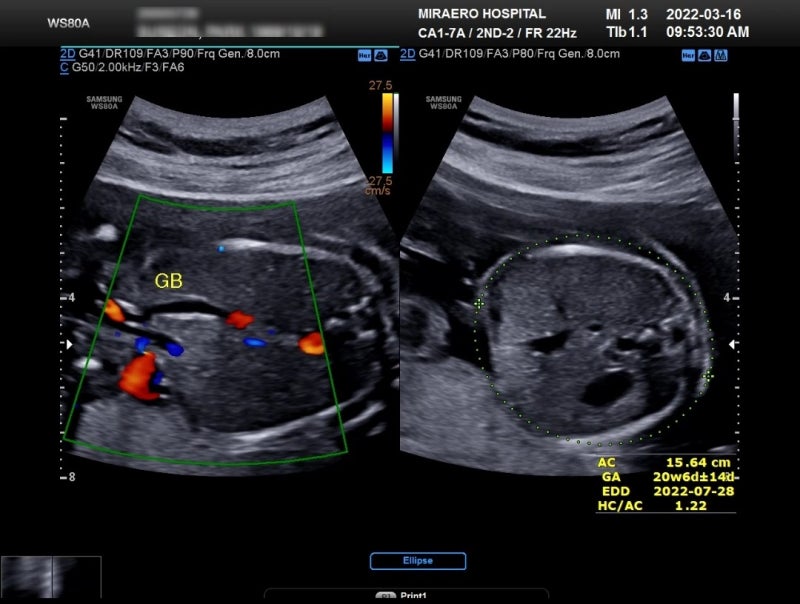
정밀 초음파 태아의 뇌, 폐, 심장, 위장, 신장, 골격에 대한 이상 유무를 조기에 발견하기 때문에 임신 22~23주에 검사 진행 해부학적·구조적 이상의 80~90% 발견 가능 기능적 이상 유무는 불분명하다. 검사시간 : 쌍둥이로 인해 50분정도 보호자 동반불가 / 마미톡 업로드 가능 담당선생님과는 검사결과를 공지(진료실 초음파X) 초음파 전 소변을 1~2시간 이상 참는 것이 좋다
![]()
지난번 검사 때 미리 날짜를 잡고 갔어요.주말에는 여행을 가는데 평일밖에 시간이 없어요.아침 일찍 준비를 하고 병원 도착 평일 가장 빠른 시간이라 여유가 있는 병원을 먼저 상담실에 가서 혈압과 체중을 쟀습니다. 22주차 68kg.

4주 전에는 64kg이었는데 일주일에 1kg씩 쪘네요. 케크
![]()
9시에 별관에 있는 영상의학과에 가서 대기 두근거려요.이름을 부르기에 들어가자 안은 생각보다 어둡고 아늑한 분위기의 침대에 올라가 초음파를 보기 시작하는 두 사람이기 때문에 A, B처럼 구분해 본다고 했습니다. A는 왼쪽에 있는 행복이 B는 오른쪽에 있는 축복이
![]()
인스타그램@maternura캡처
![]()
자세는 5번 자세처럼 있다고 하셨어요. 행복이는 밑에 머리가 놓여 있고, 내 머리는 오른쪽 갈비뼈 밑에 있거든요. 그래서 양쪽 갈비뼈가 아팠구나. 한 명은 발로 차고 한 명은 머리로 밀고.얼굴로 확인해서 다행히 머리 크기는 작은 편이고 코와 입 사진도 찍고 있었습니다.언청인지 확인하는 것이라고 했어요. 코도 입도 잘 발달되어 있습니다.옆 라인도 예쁘네요.(고슴도치 사랑)귀도 두 개씩 있는지 확인하고 팔, 다리뼈의 모양과 길이, 뇌, 장기에 물이 고여 있는 곳은 없는지 꼼꼼히 살펴봤습니다.아주 잘 발달되어 있다고 했어요. 훌륭한 복들손과 발가락, 발가락이 5개씩 있는지도 확인하고 얼마나 귀여웠는지 하나씩 확인시켜주는데 웃었어요. 복복(B) 촬영할 때는 발을 너무 차서 촬영이 힘들어서 다른 것을 보고 다시 찍자고 할 정도로 활발했습니다.발길질 야야야야야야.사실 좀 깜짝 놀랐어요. 그때 태동을 느낄 때 행복이는 되게 잘 움직이는데 저는 조용하다고 생각했거든요. 이렇게 잘 움직이다니 둔한 엄마인 것 같아요.드디어 찍은 내 다리! 너의 다리를 찍느라 선생님이 많이 고생하셨다.검사하는 시간은 대략 1시간 정도, 태아의 경우 25~30분의 2이기 때문에 더 시간이 걸렸습니다. 검사실이 어두워서 나중에 졸립니다.선생님이 두 분 다 주수에 맞게 잘 자라고 있고 몸무게도 단테어 수준이라고 하셨어요. 나는 조금 더 무게감이 있는 편이지만 둘 다 비슷한 수준이라 괜찮다.양손의 양도 적당해 문제가 되는 부분은 보이지 않는다.얼마나 고마웠는지, 최근에는 아기가 아프지 않고 건강하게 자라주는 것이 얼마나 고마운 일인지 깨닫고 있습니다.22주차의 개인적인 증상갈비 뼈 아픈 특별한 것은 없지만, 점점 허리와 등이 아파서 있습니다. 아무래도 아기가 커질수록 내 갈비 뼈가 무너지는 건 아닐까… 충분한 휴식을 취해야 할 것 같습니다. 잦은 소변, 새벽 3시 반에는 항상 화장실에 갑니다.도중에 일어나서 물 한잔 더 마시고 자려고 출근 시간!회사에 있을 때도 화장실에도 자주 갑니다. 앉아 있는 시간도 많고, 아기가 크기 때문 방광도 점점 밀리고 있습니다. 민감 보스 임신을 하면 호르몬 변화를 한답니다.사실 저는 그렇게 민감하지 않았습니다. 시험관의 준비를 할 때도 임신한 때도 스트레스를 크게 받지 않고 묵묵히 지내고 있었다고 생각합니다. 남편은 신기하다임신이 체질인가(이라니까!!)너무 걱정도 힘든 생각을 하게 하지도 못했어요.22주째는 설거지가 궁금합니다. 내가 저녁을 준비하면 남편이 설거지를 바로!! 하고 싶은데요, 남편은 뒤로 한다, 내일 아침에 하라고 미루고 있었습니다.나는 주방을 지나갈 때마다 계속 보고 있기 때문에 점점 화가 나서 남편에게 진상 규명을 했습니다.다른 것을 풀어 주는 남편이지만 하고 달라는 것을 신경 쓰지 않도록 하면 좋겠는데요. 무엇인지 입장 차이, 남편 왈:내가 다른 말을 다 하는데, 그것 하나 나중에 하면 안 되야.퇴근하면 피곤한 거라구.본인이 하고 싶은 때가 있고 그 때 하는.기다리라구요.:나는 다른 일을 하고 달라고 안 하는데 설거지를 제때 하고 준다고 하는데, 그것을 하지 않는 거니? 궁금한 설거지, 제가 일도 하고 밥도 만들고 설거지도 해야겠는걸?임산부인데!것도 쌍둥이인데도 잉스타에도 올리고 법석을 떨면서 남편의 지인들이 형부를 무척 싫어하곴다는(흥! 능숙하죠)설거지 때문에 화가 많이 났어요.이렇게 예민했던 건 처음 식기세척기를 사든 해야지.흥! 22주 아기발달활발한 태아 활동 태아는 똑바로 앉아 있거나 손발을 움직여 자세를 자주 바꾼다고 합니다.손가락도 씻고 스스로 숨쉴 수 있도록 양손도 들이마시고 밤과 낮을 구분할 수 있을 정도로 빛의 밝기를 느낄 수 있습니다. 너무 잘 자라고 있는 행복&축복 다음 진료때도 건강하게 다시 만나자.행복을 담아 축복을 담아 복복을 가득 담아